12/09/2025
GÃY XƯƠNG DI LỆCH BỊ BỎ SÓT
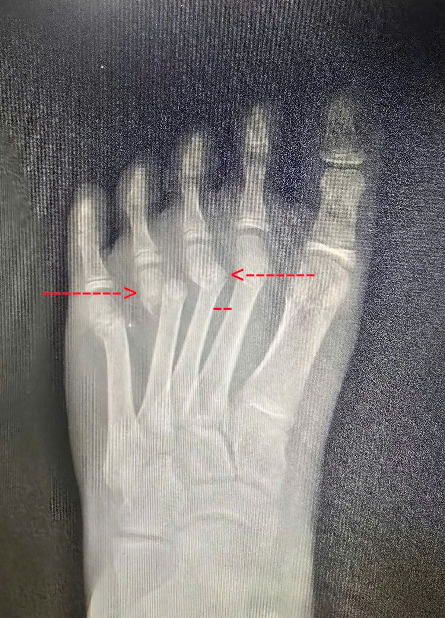
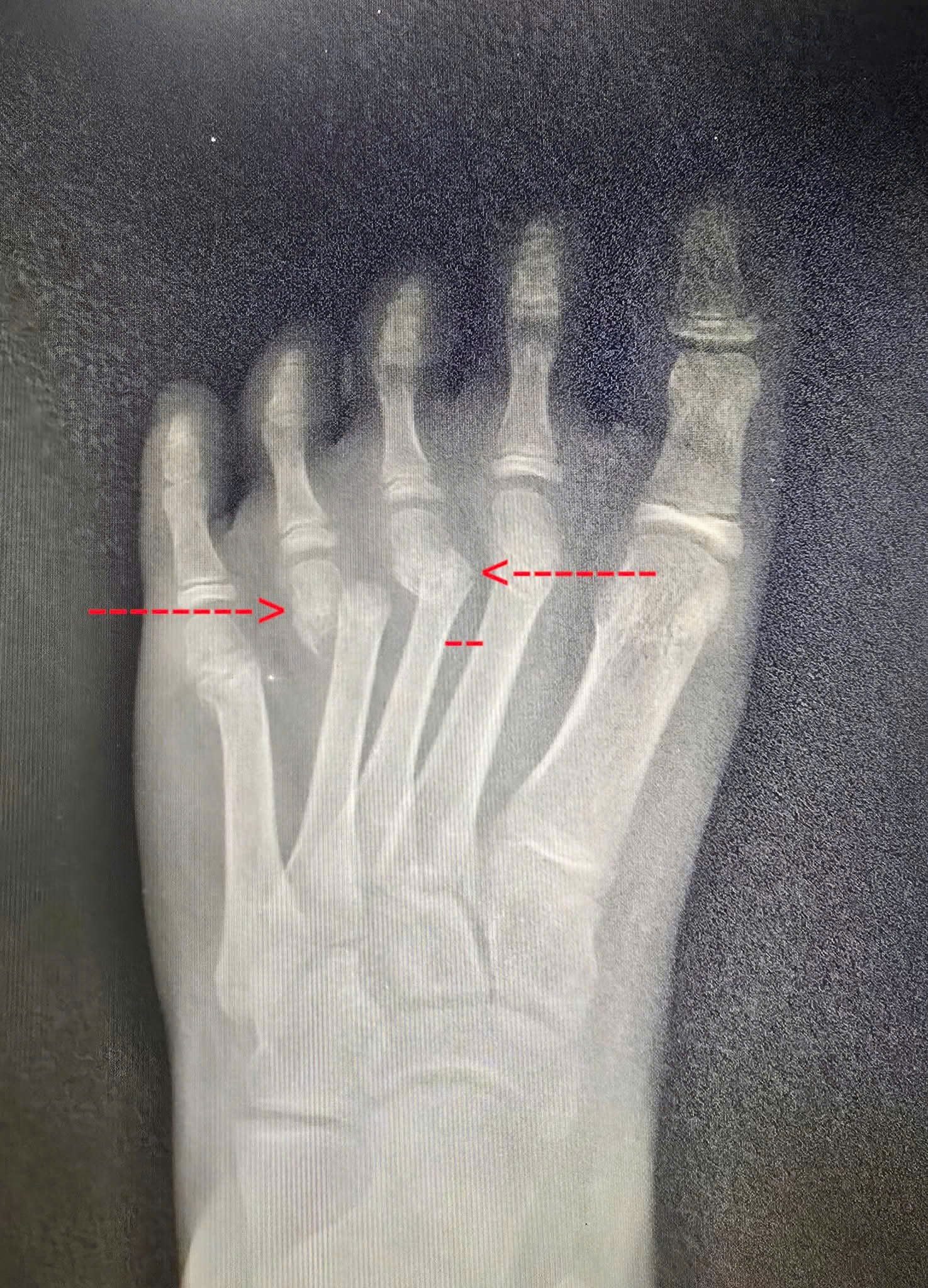
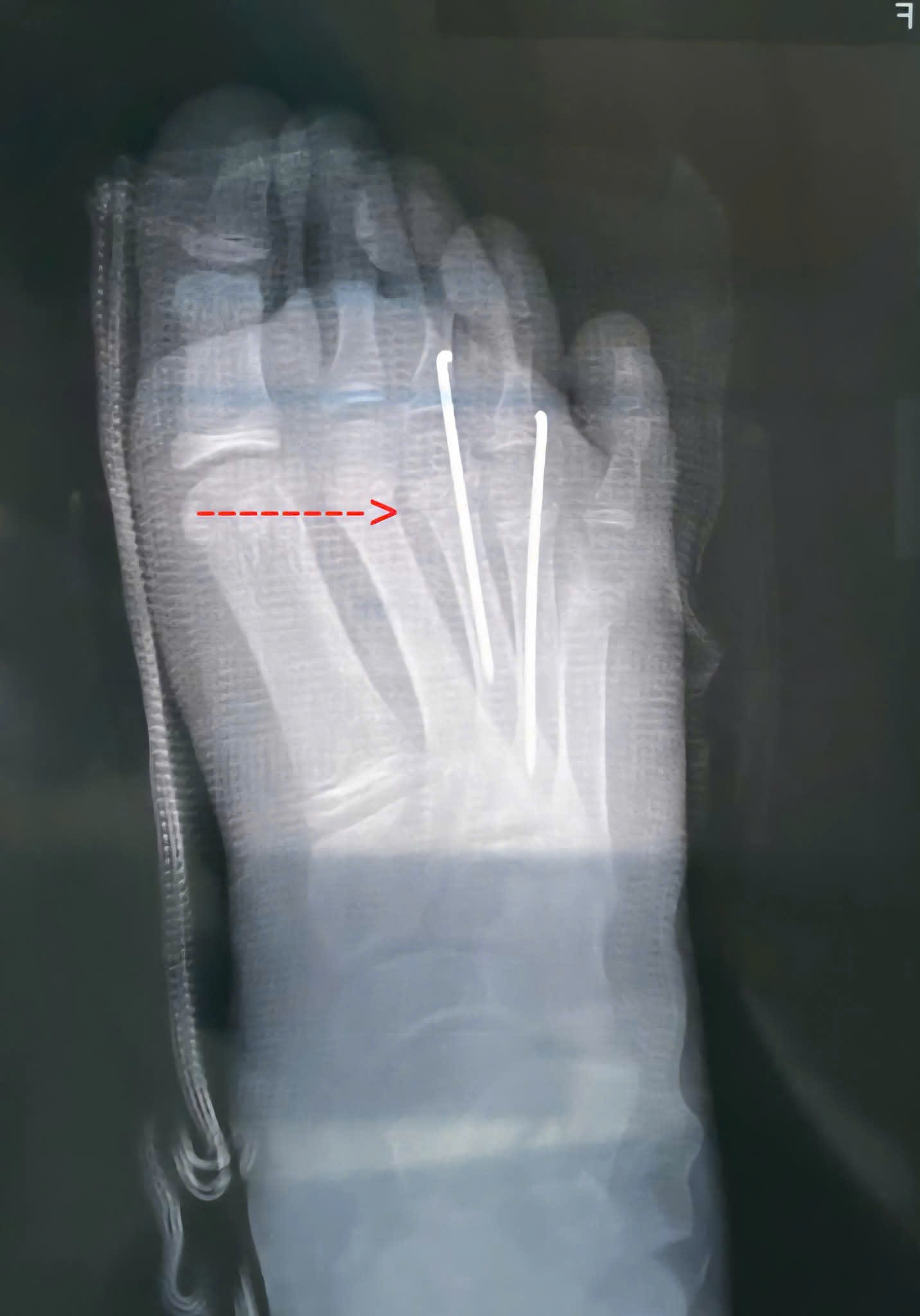
❤️ Bệnh nhân nữ, 8 tuổi không may bị trượt chân té ngã gãy kín xương bàn 2 đến 5 bàn chân trái. Bé được 1 phòng khám lớn cho bó bột và dặn 4 tuần bỏ bột không hẹn tái khám. Bệnh nhân về thấy còn đau, sưng người nhà đưa đến Trung tâm y tế Thành phố Thuận An được các Bác sĩ chuyên khoa Chấn thương chỉnh hình khám, x quang kiểm tra thấy xương bàn 3 và 4 còn di lệch nhiều cần phải phẫu thuật nắn chỉnh lại. Từ khi Bệnh nhân bị tai nạn đến khi mổ là gần 10 ngày xương gãy đã có nhiều cal xương nên các Bác sĩ phải phá cal và kết hợp xương xuyên kim Kirschner để cố định xương gãy. Kết quả sau mổ xương gãy đã được nắn chỉnh hết di lệch, giúp xương lành tốt và không ảnh hưởng đến chức năng sau này của bàn chân.
❤️ Qua trường hợp này với gãy trên gần như có chỉ định mổ ngay từ đầu. Nên Bệnh nhân và gia đình sau khi bị tai nạn có nghi gãy xương nên đến các cơ sở y tế uy tính, có các Bác sĩ chuyên khoa để điều trị tốt nhất theo chuyên khoa để không bỏ sót thương tổn, tránh các biến chứng về sau.

THÔNG TIN LIÊN HỆ
• Khoa Ngoại tổng hợp – Trung tâm Y tế thành phố Thuận An.
• Địa chỉ: Lầu 1, Khu C, Đường Nguyễn Văn Tiết, Khu phố Đông Tư, phường Lái Thiêu, TP. Hồ Chí Minh.
• Hotline TTYT TP. Thuận An: 0274 3755 434.
• Fanpage: https://www.facebook.com/ttytthuanan.vn
• Thời gian làm việc: Khám chữa bệnh giờ hành chánh hàng ngày từ thứ 2 đến thứ 6. Trực cấp cứu 24/7.