image banner
BỆNH VIÊM TÚI THỪA: BỆNH THƯỜNG GẶP NHƯNG DỄ BỊ NHẦM!!!

Vừa qua tại khoa Chẩn đoán hình ảnh Trung tâm Y tế Thuận An đã tiếp nhận bệnh nhân TRẦN HIẾU C, 48 tuổi  vào viện vì đau hố chậu phải. Nhờ sự tỷ mỉ và kinh nghiệm lâu năm của các bác sĩ tại khoa Chẩn đoán hình ảnh đã hội chẩn giúp chẩn đoán chính xác bệnh  Viêm ruột thừa kết hợp Viêm túi thừa với hình ảnh siêu âm như sau

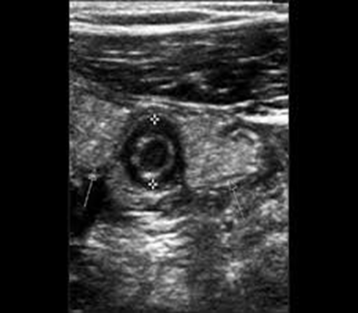
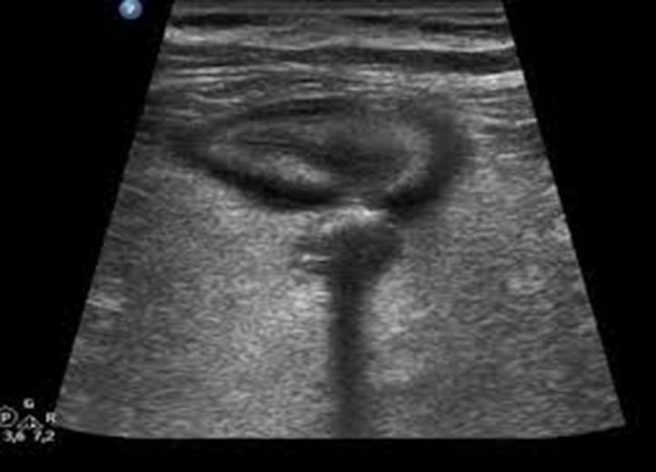
 Ghi nhận hình ảnh trên siêu âm:

Cấu trúc hình ống đầu tận d= 8mm  nằm ở vùng bụng dưới bên phải ấn không xẹp ,thành ruột thừa  dày và phù nề hình bia bắn mô mỡ xung quanh ruột thừa tăng âm (tăng sáng) do phản ứng viêm.

Hình ảnh viêm túi thừa manh tràng : hình ảnh rải rác vài túi thừa tại manh tràng cấu trúc hình túi,mô mỡ thâm nhiễm dày, phản ứng viêm xung quanh;

Hai bệnh cảnh này thường dễ lầm nhẫn với nhau, và rất hiếm khi đi kèm chung với nhau. Khi 2 bệnh cảnh này đi chung, thường dễ bỏ xót 1 bệnh lý.

Sau đó người bệnh  được phẫu thuật nội soi thành công và hồi phục nhanh chóng.

Viêm túi thừa: Viêm túi thừa là một tình trạng phổ biến, đặc biệt ở người lớn tuổi, nhưng lại hay bị nhầm lẫn với các bệnh tiêu hóa khác như hội chứng ruột kích thích hay đau dạ dày. Vậy viêm túi thừa là gì và làm thế nào để nhận biết?

Túi thừa là gì?

Bạn có thể hình dung túi thừa như những chiếc túi nhỏ, phình ra từ thành ruột già. Những chiếc túi này thường không gây ra triệu chứng gì và được gọi là bệnh túi thừa. Khi thức ăn hoặc phân bị kẹt lại trong các túi này, chúng có thể bị viêm nhiễm, dẫn đến tình trạng gọi là viêm túi thừa.

         Khác biệt với ruột thừa: Điểm khác biệt quan trọng là ruột thừa sẽ xuất hiện dưới dạng một cấu trúc ống, trong khi túi thừa chỉ là một cấu trúc túi phình ra từ thành đại tràng, không phải một ống độc lập.

Dấu hiệu cảnh báo: Đừng chủ quan!

Các triệu chứng của viêm túi thừa thường xuất hiện đột ngột và có thể nghiêm trọng. Dưới đây là những dấu hiệu bạn cần chú ý:

Đau bụng dữ dội: Đây là triệu chứng phổ biến nhất, thường ở vùng bụng dưới bên trái. Cơn đau có thể xuất hiện đột ngột hoặc tăng dần trong vài ngày.

Sốt: Tình trạng viêm nhiễm có thể gây sốt, ớn lạnh.

Buồn nôn và nôn: Đi kèm với cơn đau bụng.

Thay đổi thói quen đại tiện: Bạn có thể bị tiêu chảy hoặc táo bón.

Nếu bạn gặp phải bất kỳ triệu chứng nào trên, hãy đến gặp bác sĩ ngay lập tức để được chẩn đoán và điều trị kịp thời.

Viêm túi thừa có nguy hiểm không? Khi không được điều trị, viêm túi thừa có thể gây ra những biến chứng nguy hiểm như:

Áp xe: Viêm nhiễm tạo thành ổ mủ.

Thủng ruột: Túi thừa bị thủng, gây rò rỉ phân vào khoang bụng, dẫn đến nhiễm trùng nghiêm trọng (viêm phúc mạc).

Hẹp ruột: Viêm nhiễm tái phát nhiều lần gây sẹo và làm hẹp lòng ruột.

Làm thế nào để phòng ngừa? Mặc dù không thể loại bỏ hoàn toàn nguy cơ mắc bệnh, bạn có thể giảm thiểu rủi ro bằng cách thay đổi lối sống:

Tăng cường chất xơ: Chế độ ăn giàu chất xơ từ rau xanh, trái cây, ngũ cốc nguyên hạt giúp phân mềm hơn, dễ di chuyển, giảm áp lực lên thành ruột.

Thể dục thường xuyên: Hoạt động thể lực giúp hệ tiêu hóa hoạt động trơn tru.

Viêm túi thừa là một bệnh lý có thể phòng ngừa và điều trị hiệu quả nếu được phát hiện sớm. Đừng ngần ngại tìm kiếm sự giúp đỡ của bác sĩ nếu bạn có bất kỳ dấu hiệu nào đáng ngờ.

anh tin baianh tin bai
TIN MỚI
Thống kê truy cập
  • Đang online: 0
  • Hôm nay: 1
  • Trong tuần: 0
  • Trong tháng: 0
  • Tất cả: 0