13/04/2026
SIÊU ÂM & X-QUANG TRONG CHẨN ĐOÁN THỦNG TẠNG RỖNG
SIÊU ÂM & X-QUANG TRONG CHẨN ĐOÁN THỦNG TẠNG RỖNG 
Thủng tạng rỗng là một cấp cứu ngoại khoa nguy hiểm, đặc trưng bởi triệu chứng đau bụng đột ngột, dữ dội ("như dao đâm") và bụng cứng như gỗ. Việc chẩn đoán và điều trị nhanh chóng là cực kỳ quan trọng để tránh những biến chứng xấu, đe dọa tính mạng bệnh nhân.

1. Nguyên nhân thủng tạng rỗng
•Thủng loét dạ dày tá tràng: Chiếm đến 90% các trường hợp.

•Chấn thương bụng kín:
•Thủng ruột: Thường gặp nhất ở tá tràng, tiếp đến là hỗng tràng và ít gặp nhất ở đại tràng.
•Vỡ bàng quang: Có thể gây tràn khí ổ bụng.
•Chấn thương xuyên thấu thành bụng.
•Thủng tạng rỗng do dị vật: Nuốt hoặc bị rơi dị vật vào trong, hoặc do nhét dị vật vào trực tràng/âm đạo.
•Viêm hoại tử ống tiêu hóa: Dẫn đến thủng tạng rỗng.

2. Triệu chứng
•Đau bụng dữ dội, đột ngột, có thể lan khắp bụng.

•Bụng co cứng như gỗ.

•Nôn, buồn nôn, bí trung đại tiện.

•Có thể sốc (mạch nhanh, huyết áp tụt) nếu đến muộn. 

3. Cận lâm sàng
3.1. Siêu âm
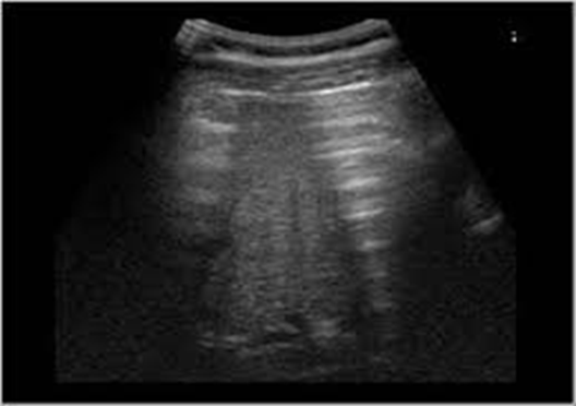
Các dấu hiệu gợi ý thủng tạng rỗng qua siêu âm bao gồm:
•Hình ảnh tăng âm có bóng lưng hoặc tăng âm của viêm phúc mạc. Vị trí bóng khí này thường thấp hơn so với bóng khí phổi, di chuyển không đồng bộ với cử động hô hấp. Thường gặp nhất ở giữa cơ thành bụng và bề mặt gan, hoặc ở hậu cung mạc nối, rãnh dây chằng liềm.

•Dấu hiệu bậc thang: Hình thành với 2 rèm hơi (tự do và màng phổi), trong đó hơi màng phổi nằm cao hơn hơi ổ phúc mạc.

•Ngoài ra, siêu âm có thể phát hiện dịch ổ bụng hoặc các tổn thương tạng khác đi kèm.

3.2. Chụp X-quang bụng đứng không chuẩn bị
Đây là phương pháp phổ biến và thường xuyên được chỉ định trong cấp cứu để xác định và loại trừ thủng tạng rỗng. Bệnh nhân được khảo sát ở tư thế đứng hoặc nửa nằm nửa ngồi để tìm kiếm hơi bên dưới cơ hoành.

3.3. Chụp cắt lớp ổ bụng (CT)
Áp dụng cho những bệnh nhân khó xác định thủng tạng rỗng bằng siêu âm và X-quang. Hình ảnh CT cho thấy thủng tạng rỗng dựa trên các dấu hiệu:
•Có khí ở thượng vị cạnh tá tràng, mặt trước của gan và cạnh tá tràng.

•Có thâm nhiễm mỡ mạc treo.
•Xuất hiện tình trạng khu trú dày thành ruột.
•Ngấm thuốc mạnh ở thành ruột, bị thoát thuốc cản quang ra khỏi ống tiêu hóa.


Trường hợp cụ thể tại TTYT khu vực Thuận An
Bệnh nhân Nguyễn Văn T, 50 tuổi, nhập viện vì đau bụng đột ngột, dữ dội vùng thượng vị ("đau như dao đâm"), nôn ói, bụng cứng như gỗ sau bữa ăn tối. Tại khoa cấp cứu TTYT khu vực Thuận An, bệnh nhân được chẩn đoán ban đầu là thủng tạng rỗng và được chỉ định làm xét nghiệm, siêu âm ổ bụng, chụp X-quang bụng đứng.
•Kết quả siêu âm: Hình ảnh hơi tự do ổ bụng (dấu hiệu rèm cửa vị trí gan phải) kèm dịch ổ bụng lượng ít (vị trí khoang Morrison và vùng hạ vị).

•Kết quả X-quang bụng đứng: Hình ảnh liềm hơi dưới hoành hai bên.

Sau thăm khám lâm sàng và cận lâm sàng, bệnh nhân được chẩn đoán thủng tạng rỗng và nhập khoa ngoại điều trị. Sau 5 ngày điều trị, tình trạng bệnh nhân ổn định và được xuất viện.

